我が家の介護日誌 P-20
浅川太陽光発電所
所長 浅川 初男
驚いた〜ぁ!!
2017年、正月明けて、いつもの様に朝食を母の所に持って行くと
玄関を開けたら異臭
昨日よりも、強い異臭
廊下を見ると、白い点々があちこちに点在し、続いている。
異臭は、焦げ臭い、臭いと、
アンモニア臭
異臭漂う玄関
昨年掃除をさぼった罰か?
大急ぎで
洗い流しました。
玄関を上がると、廊下に白い点々が点在。
これは何かと
確認すると・・・驚きの事実
ろうそく の落ちた痕
何でロウソクが落ちているのだろう
母に聞くも・・・違う世界・・・・
母の部屋に朝食を用意して、片付けをしていると、母が部屋から出来て 「昨夜、怖い思いをした。」
「暗かったのでロウソクを灯して家の中を点検した」
母のその言葉を聞いたとたん・・・驚くのと、火災にならなくて良かった。
母に強く注意をしたが・・これで済んで、・・・安心したならば、力が抜けた。
(火災が心配だったので、前もってマッチは片付けてあったのですが)
廊下に点在するロウソクの痕を削り取り集めてみました。
かなりあちこちを、歩いており
母の部屋の畳や座布団から玄関へ
玄関からトイレまでつながっていました。
(火災にならなくて良かった!!)
これ片付けたなら朝食にしよう。
なんか・昔の家や停電の時を思い出したのか、ロウソクに灯りを灯して、家の中を歩き回るとは、やはり、違う世界を思い出して、・・・・・・
そうだ!! 玄関の異臭も掃除しなくては。
玄関も、綺麗に掃除をしました。
母の記憶には無いようですが
どうも、玄関で、ようたし、を、したために
異臭が発生していたと思われる。
洗い流したならば
異臭も消えて、鉢類の花も綺麗に見える。
年末に、私が掃除をしなかったので
罰が当たったと言うことでしょうか?
落着いたならば、午前10時を過ぎていた。
朝食を摂って、急いで薬を飲まないと
もうじき、痛みが来る。
2017年のドタバタ介護の始まりです。
正月早々、母との意思疎通(会話)に、意味不明な会話が発生する。
母は、日中でも、私との会話に、つじつまの合わない話をするが、その会話は
時々、覚えていないと言う。「頭が、バカになったと」、本人は言っている時は、正常で、興奮している時や、自分が、何かしたい時には、私との意思疎通は困難になり、興奮がおさまるまで、見守るしか無くなって来ている。
本日は、母が夜トイレまで移動する廊下に、人感センサー付きのライトを、急いで、2個目を取付けた。(夜間の移動も少しは明るく照らされると思う)
_
トイレまでの廊下に設置。 設置工事をしていると、気になるらしく、何度も見学に来る母、工事から3日目の朝に、夜足下が明るくて助かると、気が付いたらしく、私に、報告。どうも、2日間は気が付かなかったようです。設置後
2日間は普通に、私と会話をしていたのですが、記憶には無かったのでしょう。
私の体調は、12月に入ってから、ちょっとしたことで、出血と鼻血が出て、注意しないと、洋服まで汚すことに、特に鼻血は、気付いた時には滴り落ちていることがあり、ポケットテッシュが大活躍です。
乾燥が続いて、湿度が下がり鼻腔内の血管が、少しの刺激で、切れてしまうので、マスクは離せません。それでも、マスクが血に染まる場合もあり、気を付けていないと、血染めのマスクで皆さんに驚かれます。(外出時は要注意)
(体調的には、残念ながら痛み止めは必需品になりっています)
こんな体調ですが、何とか元気です。
母と、本日は、病院へ。
母の健康管理で、内科診療です。本日は、なかなか、診察順番が回ってきません。予約で来ているのですが、30分経過したところで、イライラ発生、母が突然、診察窓口へ行き、他の診療科を選択、あっけにとられている私をよそに、他の診療科を受診、戻って来たので、どうしてそんなことをするのかと訪ねると、「あちらが空いていたからと」と言い、診察を受けて、投薬をもらうと言う。
私はあわてて、空いている診療科は、前回、既に診察を受診し、投薬も、もらっていると、言うと、「薬はいくら有っても良い」と言う母。
2ヶ月分の投薬が溜ってしまうことに!!、
そんな、母の行動をいさめていると「いくら待っても、診察してくれない、こんなところからは、帰る」と言い出す。
周りの患者さんが驚いている。そんな母とのやり取りを皆さん心配しています。
☆神の救い!!、 母の名前を呼ぶ声が。診察室に入ると、まだ興奮状態の母
医師の問いかけの言葉で、我に返ったのか、突然「おら〜バカになった」と、萎れている母、どうも、待ち時間が、待ちきれなくて、イライラしてしまい。色々考えてしまい、取り残された気持ちに陥り、待合室での私に対しての暴言になっていたようです。
家では、良くあることなので、そんなに心配しは、いなかったのですが、まさか、病院の診察順番で起きるとはおもっていませんでした。兆候は有ったのですが、今までは、母が自分で気分転換をしていましたが、出来なくなって来ていたことに、今回、私が気付かず騒ぎになってしまった。
これからは、家だけではなく、母と出かけた時にも注意が必要になった。
なんか・・・・・
母との生活に
さらに霞が、かかって来ているような
医師からの助言は・・私に
在宅サービスを使って、体調管理を
崩さないようにと、言ってくれました。
共倒れに、ならないことが大事です。と
母の、症状を緩和する薬はありますが、どうしますかと尋ねられましたが、
薬の効果を確認すると、母の行動が制限され、運動能力が阻害される可能性があるので、私が、もう少し、頑張ってみます。と返答
その日のうちに、医師から、ケアマネさんに連絡が行ったようで、次の日、
ヘルパーさんに続いて、ケアマネさんが訪問してくれた様ですが、私は、疲れて、ヘルパーさんを確認して、お昼寝をしていたので、車が帰る音で気が付きました。
皆さんが、帰ってから、母の所に行くと「今日は、珍しい人が来た」と言って
ケアマネさんの訪問を教えてくれた。今日は、現実の世界に居る母である。
_
季節が、春への歩みを早める中、母の病状は、進行を早めている。
3月になってから、幻覚を見る回数が急激に増えている。
現在は、週3回くらい、昼夜を問わず、幻覚を見てしまうようです。
そのつど、母との会話に、私がついて行けないほどです。
母の行動にも、大きな変化が発生しています。
洗濯を母がやっているが、全自動なのに、なぜかホースで水道から水を入れていたり、洗濯機が動かないと言って私を呼ぶ。見に行くと、ふたが開いている洗濯機。蓋を閉めれば動くのに。(洗剤の量は間違えています)
それと、洗濯機の動く音が聞こえないと私に訴える。(ある種の音が聞こえない)
洗濯がうまく行かず、私がやり直し、洗濯物を干しておくと、何故か、数分後、気が付くと、取込んでいる母、まだ乾いていないのに。
(当然、もう一度、干し直します)
日にちや、曜日はもちろん、朝夕を間違えたり、1日24時間が8時間や、12時間になってしまう。周1のデイサービスの利用日を毎日私に尋ね、
「今日は、デイに行く日か?」と尋ねたり、「今日は、医者に行く」(月に1回程度)「今日は、行く日だ」「着替えができない」「出かける」が毎日
朝から騒ぎだし、今日は曜日が違うから、今日は行かないよと、納得させるまでに1時間ほどかかる、母との朝の会話です。
これが不思議と、朝食を母の所に持って行くと起こるので、私の朝食は、この後になり、体調が不安定で、疲れます。心に、余裕が無くなると言うか、それすらも考えられない自分・・・・・・
こうなってくると、不思議と介護している私が、音楽を聴かなくなっていることに、つい最近、気が付き、気持ちに余裕が無くなってる なぁ〜と・・・・
春霞みのせいか・花粉のせいなのかなぁ〜?
本日は、母、デイサービスの日、朝から準備と思い気や? 昨日の母が準備していた着替えが無い。(いつもと同じで、どこかに持っていたようです)
今日は、自分で着替えが出来ないと言う。
先月から、自分で外出時の着替えが判らなくなって、私が、用意をするようになってしまった。
そんな母であっても、外出時や知り合いとの会話時には、通常会話になっている。でも、ところどころ、話がつながっていないが、さすがに高齢の知り合い、会話が続くのが不思議。私しとの会話より、つじつまが合う。
介護にたずさわっている方に、この話をすると、「良くあることです」とおっしゃいます。これから、さらに進みますので、覚悟が必要です。
「無理をせず、私たちに相談下さい」と、言ってくださるのが救いです。
母の行動異変・幻覚・突然の行動・短気・被害者妄想・物忘れ(当初より短い時間感覚・最短5分前くらい)などの症状が急激に進んでいる。
今週からは、排便がうまく行かず、便秘症状から自覚無く排便になりつつあり、訪問看護師に相談。結果、リハビリパンツとパットの併用で、排便等が失敗しても、衣類を汚すことが少なくなり、洗濯の回数も減りますよと、教えて、いただきました。即実行です。(半年前に、突然の排便失敗時に用意してあり)
覚悟はしていたけど、排便を失敗した母の下半身を洗浄しているとき、母の申し訳無さそうな姿を見ていると、何とも言えない気分に。
活発に、行動していた母が、急に老いた感じに、寂しくなった。
一日3回以上の洗濯は、さすがに堪えるね。
介護用品が、揃っている今は、感謝しなくては、それでも大変だ。
母の病状に激震 母の弟が亡くなった。
入院と瞬く間に葬儀へと、母を連れての葬儀への参加で、気丈にしていた母の病状が、ついに限界に。
朝の早起きや、深夜の活動行動が、数日続いた。
葬儀から一週間、朝、それは起こった。
朝食を摂っていた母の口から、食べ物が溢れだし、箸の運びがおかしくなると同時くらいに、まるで、子どもが眠いのを我慢して食事中に眠るような姿に
最初は、眠いのかと、思っていたならば、話しかけても返答が無い。
それと同時に、倒れ掛かるように横になってしまい、元の姿勢に戻しても、また、横になってしまい、話しかけても意識が無く、全く動かない。
5分くらい全く動かず、意識も戻らない。 ここで救急車を要請。
救急車到着時は、意識は戻っているが、本来の物ではなく混濁している。
救急車で、掛かり付けの病院に収容して、診察を受ける。
母の強運か、当直医師が脳外科医でしたので、適切な診察と処置。
医師からの説明で、脳萎縮による老人性癲癇の発症だと説明を受ける。
処置室にて、今日の昼には、自宅に帰れることと、これから起こりうる症状の説明を受け、頻繁に今回のような病状が発生するのであれば、投薬を行い、病状の進行を抑えることができることも、説明を受ける。
実際に、昼には、自宅に母を帰宅させることができましたが、家に帰ってからの、母の行動は、鈍く、いつもの母の行動ではないのですが、会話は、かなり元に戻りましたが、食べ物については、全く違う行動を示し、驚きと、だいぶ惚けが、進行していることをあらためて、確認することになりました。
リンゴの皮を剥くことができたので、安心していたならば、皮を剥いたリンゴを食べると思っていたらば、
剥いたリンゴの皮や、芯の部分を口に運んでいた。(すぐに止めさせました)
本人は、全く気付いていない。 ショクでした。
昼食は、リンゴで済ませ、腹一杯と言ってベッドに横になっています。
午後には、訪問看護サービスが訪れてくれる日だったが、疲れで眠りに陥る。
車の音で、目覚め、説明に行くと、看護士と話をしている母がいる。
会話は、成立して、今朝の自分を説明していた。
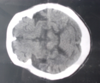
そんな、母の脳の状態。 医師からは、だいぶ収縮しているとの見解。
_
私たちが、見ても判らないが、脳の中に白い物があるのは確認できます。
会話が、成立していたので、ひとまずは安心。
安心して、訪問看護師やヘルパーが在宅している間の時間内は、いつからだろう、休憩している時間となっていた。(最近、気付いた。)
一日のうち、私と会話が成立する時間と、母の思ったことを行動にしないと、気が済まない時間(この時間は、私の会話は通じない)、どこかの別の場所に居て、家に帰ろうとする時間、微睡みの時間(ベッドに横になっている)が家での過ごし方になっている。家での歩行時も、ふらつきがあり、ベッドから落ちるのではないかと思うほど、行動が緩慢になり、ふらついている母だが、ディサービスを利用している時は、全く問題がないと、連絡ノートには、書いてあり、家に居る時の母の行動は、いったいなんなのだ!!と、疑いたくなってしまうが、これが惚けである。
家族だから、安心して惚けていられるのかも知れないが、こちらとしては、24時間、気が抜けない状態になって来ている。ケアマネも、私の体調を危惧してくれ、ショートステイをそろそろ考えましょうと、助言をしてくれています。
ここ一週間は、すざまじく、午後8時には就寝、午前0頃には第1回目の活動、午前2〜3時が第2回目の活動(ここまでは見守の努力)ここでは、母を寝かし付けに行くが、午前4時には起床しているようである。
いつも暖房機の3時間タイマーが、朝食を持って行く7時過ぎには、切れているか、朝食を見守っていると切れるので、活動時間が把握できる。
歳を重ねると、早起きになると言うが、零時からの3回には、体力がついて行かず、ギブである。午前と午後に仕事時間ではなく眠りを取っている時間があり、尋ねて来たケアマネさんに起こされることが多くなった。
今日この頃です。
でわまた。

